Заплатка для сетчатки, генетический редактор и клеточная 3D-карта

Наука и жизньFan

Восемь значимых событий 2025 года в биологии и медицине

Материал подготовил Кирилл Стасевич

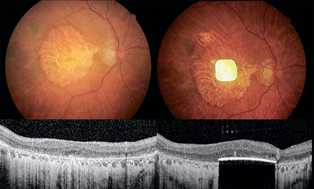
Больная сетчатка без имплантата (слева) и с имплантатом. Источник: Science Corporation

1Заплатка для сетчатки

Говоря о высокотехнологичных протезах, обычно имеют в виду протезы конечностей. Современные искусственные ноги и руки так соединены с нервной системой человека, что не просто двигаются, но и обладают определённым осязанием: протез позволяет в какой-то мере почувствовать текстуру поверхности или силу, с которой человек сжимает предмет искусственной кистью. Но руки и ноги, прямо скажем, не самые сложные части тела, а осязание — не самое сложное из чувств. И если взять, к примеру, глаз, то глазной протез — это пока что-то из области фантастики. Впрочем, не исключено, что создание глазного протеза не такая уж неразрешимая задача, как кажется на первый взгляд.

В последнее время появляется много работ, в которых ищут способ справиться с макулярной дегенерацией сетчатки, или макулодистрофией. Макулой, или жёлтым пятном, называют овальную зону сетчатки с наибольшей остротой зрения, расположенную напротив зрачка. Благодаря рецепторам макулы мы можем читать, писать, водить машину, различать самые мелкие детали. У некоторых людей рецепторы макулы начинают со временем стремительно отмирать. Развивается макулодистрофия — одна из самых частых причин слепоты у пожилых людей.

Какие здесь есть варианты? Обычно ставка делается на клеточную и генную инженерию. В сетчатку можно пересадить здоровые рецепторы от донора; можно внедрить в нерецепторные клетки сетчатки ген, который превратит их в рецепторы; можно генетическим редактированием затормозить гибель палочек и колбочек пациента; можно использовать стволовые клетки, превратив их в специализированные клетки сетчатки и пересадив в больной глаз. Всё это в большинстве случаев ограничивается пока только экспериментами на животных, хотя эксперименты со стволовыми клетками проводили на людях, и даже относительно успешно. Однако возможен и другой подход.

O'qishni davom ettirish uchun tizimga kiring. Bu tez va bepul.

Roʻyxatdan oʻtish orqali men foydalanish shartlari 

Открыть в приложении